Cas cliniques
Découvrez l’évolution de nos patients à travers des cas cliniques réels et des résultats obtenus grâce à des traitements personnalisés.
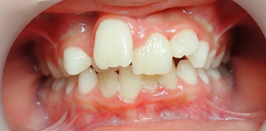
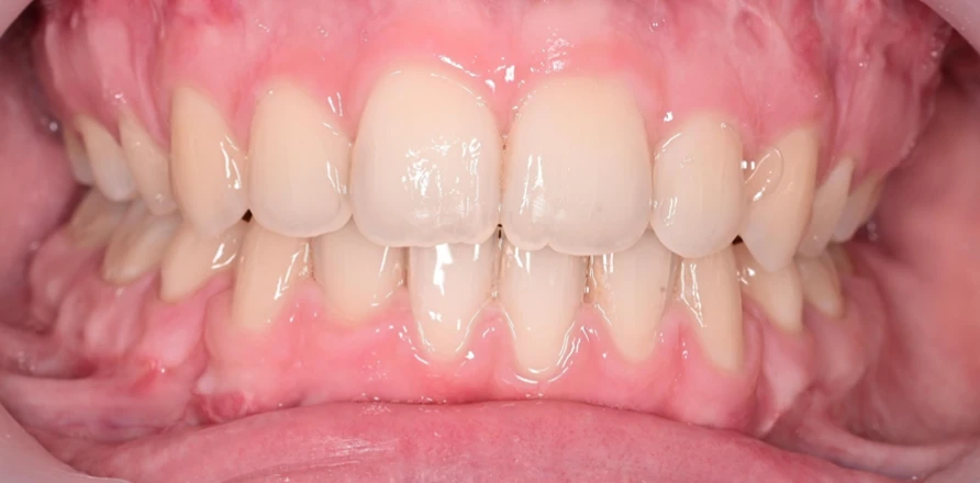
#Orthodontie enfant
Titre du cas
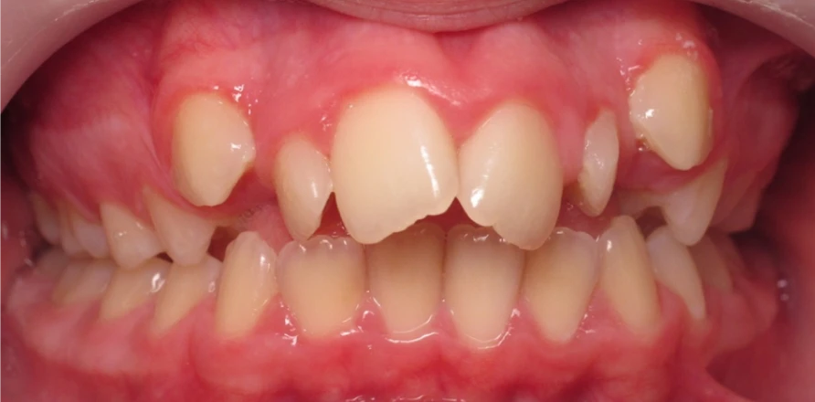
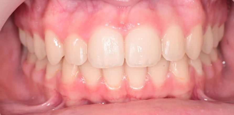
#Orthodontie enfant
Titre du cas
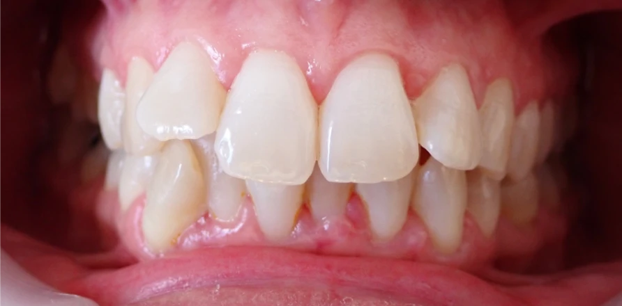
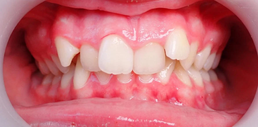
#Orthodontie adolescent
Titre du cas
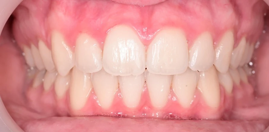
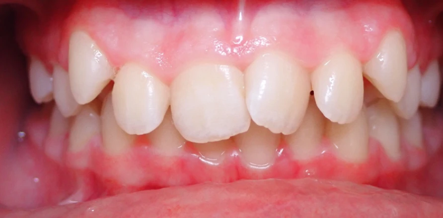
#Orthodontie adolescent
Titre du cas
#Orthodontie adulte
Titre du cas
#Chirurgie